• Sotrovimab có thể tiêu diệt biến thể omicron

    21:07 | 28/12/2021

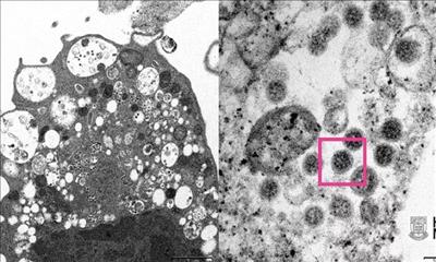
    Một nhóm nhà khoa học quốc tế nhận dạng kháng thể có khả năng vô hiệu hóa omicron và những biến chủng nCoV khác. Những kháng thể này nhắm vào khu vực trên gai protein của virus không thay đổi khi virus đột biến.